Artrose
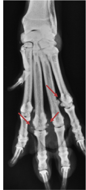
Kapotte sesambeentjes kunnen aanleiding geven voor het ontstaan van artrose in het betreffende gewricht. Los daarvan zien we met name bij de Golden Retriever, en soms ook bij andere grote rassen artrose in de gewrichtjes van middenvoetsbeenderen en tenen (zie röntgenfoto). Typisch is dat dit met name voorkomt in de middelste twee tenen, en dan ook vaak in beide ondervoeten. Overgewicht en een te lage schildklierfunctie zijn predisponerende factoren.
Symptomen
Belastingskreupelheid, met name erger bij lopen op oneffen terrein, pijnlijk bij passief bewegen van het verdikte teengewricht.
Diagnostiek
Röntgenonderzoek artrose, botnieuwvorming rond het gewricht, verbreding van het gewricht.
Behandeling
- Lokale injectie met ontstekingsremmers in artrotische gewrichten.
- Nabehandeling ontstekingsremmers oraal (nsaid’s dagelijks of 1 maal per maand).
- Gewichtsreductie zo nodig en regulering van eventueel te lage schildklierfunctie.
Prognose
Gunstig.


+31 30 200 68 90
info@kreupelheid.nl
Contactpagina
